
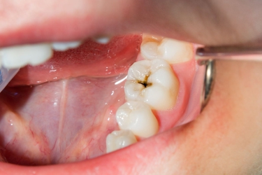
A cavity is a hole in a tooth that develops from tooth decay. Cavities form when acids in your mouth wear down (erode) your tooth’s hard outer layer (enamel). Anyone can get a cavity. Proper oral hygiene and regular dental cleanings can prevent cavities. Tooth decay can happen at any age, although cavities are more common in children. This is because many children don’t brush properly or regularly enough and they tend to consume more sugary foods and drinks. There are mainly three types of cavities that have been seen at The Dental Centre in Gangangar.
Smooth Surface Cavity - This slow-growing cavity dissolves tooth enamel. You can prevent it and sometimes reverse it with proper oral hygiene. People in their 20s often develop this form of tooth decay between their teeth.
Pit and Fissure Decay - Cavities form on the top part of your tooth’s chewing surface. Decay also can affect the front side of your back teeth. Pit and fissure decay tends to start during the teenage years and progresses quickly.
Root Decay -Adults who have receding gums are more prone to root decay. Gum recession exposes your teeth roots to dental plaque and acid. Root decay is difficult to prevent.
Dental fillings are type of tteatment that aim at restoring the tooth's origical structure. Dentists at The Dental Centre in Ganganagar, Meerut use them to repair cavities or fix minor chips and cracks in your teeth.
There are various types of dental or tooth fillings but the most common and effective used by our dentist Dr Astha Verma at The Dental Doctors Clinic in Ganganagar, Meerut are Direct and Indirect Fillings.
Direct Fillings Dentists create and place direct fillings in your mouth without the need for a dental laboratory or temporary restoration. There are various materials that can be used in direct filling:
- Amalgam (silver in color; contains mercury mixed with silver, tin, zinc and copper).
- Resin composite (tooth-colored; consists of a resin base with powdered quartz, silica or glass).
Glass ionomer (tooth-colored; made of silica glass powder).
Indirect Fillings Most indirect fillings require two visits to the dental centre in Ganganagar in Meerut, one to take dental impressions and another to place your restoration. . Inlays and onlays are two common types of indirect fillings. Dentists at The Dental Doctors Clinic in Ganganagar, Meerut use them when a tooth has too much damage to support a filling but not enough damage to warrant a dental crown. An inlay or onlay fits into your existing tooth structure like a tiny puzzle piece.
Dental filling of tooth cavity filling has various advantages:
Strengthens weakened tooth
Preserves your natural tooth structure
Restores chewing function.
Enhances the appearance of your teeth.
Lasts long
Dr Astha Verma is one of the best dentist for the tooth cavity or dental filling. The cost of tooth or dental filling at The Dental Doctors Clinic located in Ganganagar in Meerut, Uttar Pradesh would be in the range of Rs. 1000 to 3,000 depending upon the type of filling done.

The Dental Doctors is one of the most advanced dental centre in the city of Meerut, Uttar Pradesh. The Dental Clinic is promoted by renowned Prosthodontist & Implantologist Dr Shalabh Kumar and Dr Astha Verma. The dentist duo has a combined experience of more than 20 years in the field of dentistry.

At our Dental Centre you can get complete range of Dental Treatments in hygienic and sterlized conditions. Our services range from simple procedures like RCT, Cavity Filling, Crowns to complex procedures like Denture, Implants, Bridges and Braces. We perform all kinds of Dental Surgeries also.

Our team of dentists have performed more than 15,000 dental procedures in a career spanning more than 20 years. We have been delivering excellent medical outcomes and our patients are living testimonial of the quality of work practiced at our centre. All the patients are seen by prior appointment.

Dr Astha Verma is a full time dentist available from Monday to Saturday. She performs all kinds of Dental Procedures with consummate ease.
We are constantly trying to extend the frontiers of modern medicine and improve the treatment outcomes so that the patients who come to us with so much faith walk back with a smile on their lips.
Dr Shalabh Kumar is a Prosthodontist performing all kinds of specialized dental procedures. He is available at our centre on Saturday and Sunday.
With him you will not only get world class treatment but a warmth and compassion which you deserve.


All-on-4 dental implant treatment is a procedure that replaces missing teeth with a permanent bridge or denture in one day. The procedure involves placing four dental implants in the jawbone to support a full-arch restoration.
Mr. Anurag Srivastava from Health in India is talking to our Prosthodontist about the centre and the services being offered at The Dental Doctors Centre located at Ganganagar, Meerut.
